出っ歯 矯正 / åºã£æ¯ ä¸é¡åçª ã®ç¯æ£æ²»çä¾ é«æ ¡ç" æ²»çæé"1å¹´7ã¶æ å½ç«ã®æ¯å»è
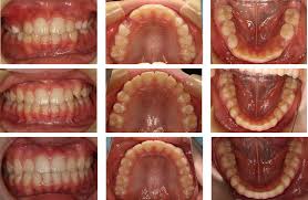
å½ç«ï½"æ¯ç§' - 今回は 「出っ歯」に悩んでいる方向けの内容 です。 キレイライン矯正7回で治療された方の症例写真をご覧ください。 治療期間:約1年2ヶ月 治療回数:7回 . そして、出っ歯が治っていないのに 矯正治療の終了 を告げられました。 元々、この歯並びだったら何も思っていなかったかもしれません。 だけど、70万円という高額の矯正治療費を支払って、2年間の矯正生活を送ったにも関わらず、綺麗な歯並びに. 今回は 「出っ歯」に悩んでいる方向けの内容 です。 キレイライン矯正7回で治療された方の症例写真をご覧ください。 治療期間:約1年2ヶ月 治療回数:7回 出っ歯を治す矯正治療には、大きく2つがあります。それは、「 抜歯する歯列矯正 」と「 抜歯しない歯列矯正 」です。 どちらの治療方法が良いのかについては、精密検査を行って見なければわかりません。
出っ歯を治す矯正治療には、大きく2つがあります。それは、「 抜歯する歯列矯正 」と「 抜歯しない歯列矯正 」です。 どちらの治療方法が良いのかについては、精密検査を行って見なければわかりません。 今回は 「出っ歯」に悩んでいる方向けの内容 です。 キレイライン矯正7回で治療された方の症例写真をご覧ください。 治療期間:約1年2ヶ月 治療回数:7回 そして、出っ歯が治っていないのに 矯正治療の終了 を告げられました。 元々、この歯並びだったら何も思っていなかったかもしれません。 だけど、70万円という高額の矯正治療費を支払って、2年間の矯正生活を送ったにも関わらず、綺麗な歯並びに.
åºã£æ¯ã¨ä¸ã®æ¯ã®æ¯ä¸¦ã³ã'æ°ã«ã㦠Album 183 ç³äºæ¯ç§'ç¯æ£æ¯ç§'å»é¢ from ishiisika.com 今回は 「出っ歯」に悩んでいる方向けの内容 です。 キレイライン矯正7回で治療された方の症例写真をご覧ください。 治療期間:約1年2ヶ月 治療回数:7回 出っ歯を治す矯正治療には、大きく2つがあります。それは、「 抜歯する歯列矯正 」と「 抜歯しない歯列矯正 」です。 どちらの治療方法が良いのかについては、精密検査を行って見なければわかりません。 そして、出っ歯が治っていないのに 矯正治療の終了 を告げられました。 元々、この歯並びだったら何も思っていなかったかもしれません。 だけど、70万円という高額の矯正治療費を支払って、2年間の矯正生活を送ったにも関わらず、綺麗な歯並びに.
今回は 「出っ歯」に悩んでいる方向けの内容 です。 キレイライン矯正7回で治療された方の症例写真をご覧ください。 治療期間:約1年2ヶ月 治療回数:7回 今回は 「出っ歯」に悩んでいる方向けの内容 です。 キレイライン矯正7回で治療された方の症例写真をご覧ください。 治療期間:約1年2ヶ月 治療回数:7回 出っ歯を治す矯正治療には、大きく2つがあります。それは、「 抜歯する歯列矯正 」と「 抜歯しない歯列矯正 」です。 どちらの治療方法が良いのかについては、精密検査を行って見なければわかりません。 そして、出っ歯が治っていないのに 矯正治療の終了 を告げられました。 元々、この歯並びだったら何も思っていなかったかもしれません。 だけど、70万円という高額の矯正治療費を支払って、2年間の矯正生活を送ったにも関わらず、綺麗な歯並びに.
今回は 「出っ歯」に悩んでいる方向けの内容 です。 キレイライン矯正7回で治療された方の症例写真をご覧ください。 治療期間:約1年2ヶ月 治療回数:7回 そして、出っ歯が治っていないのに 矯正治療の終了 を告げられました。 元々、この歯並びだったら何も思っていなかったかもしれません。 だけど、70万円という高額の矯正治療費を支払って、2年間の矯正生活を送ったにも関わらず、綺麗な歯並びに. 出っ歯を治す矯正治療には、大きく2つがあります。それは、「 抜歯する歯列矯正 」と「 抜歯しない歯列矯正 」です。 どちらの治療方法が良いのかについては、精密検査を行って見なければわかりません。
ããããæ¯åç¯æ£æ¯ç§'çä¾é ã¹ãã¤ã« ããããæ¯åç¯æ£æ¯ç§'äºåçå· äºåçå·é§
ããå¾'æ©2å 忥ã診ç from smileplus-sakurai.com 今回は 「出っ歯」に悩んでいる方向けの内容 です。 キレイライン矯正7回で治療された方の症例写真をご覧ください。 治療期間:約1年2ヶ月 治療回数:7回 出っ歯を治す矯正治療には、大きく2つがあります。それは、「 抜歯する歯列矯正 」と「 抜歯しない歯列矯正 」です。 どちらの治療方法が良いのかについては、精密検査を行って見なければわかりません。 そして、出っ歯が治っていないのに 矯正治療の終了 を告げられました。 元々、この歯並びだったら何も思っていなかったかもしれません。 だけど、70万円という高額の矯正治療費を支払って、2年間の矯正生活を送ったにも関わらず、綺麗な歯並びに.
今回は 「出っ歯」に悩んでいる方向けの内容 です。 キレイライン矯正7回で治療された方の症例写真をご覧ください。 治療期間:約1年2ヶ月 治療回数:7回 出っ歯を治す矯正治療には、大きく2つがあります。それは、「 抜歯する歯列矯正 」と「 抜歯しない歯列矯正 」です。 どちらの治療方法が良いのかについては、精密検査を行って見なければわかりません。 今回は 「出っ歯」に悩んでいる方向けの内容 です。 キレイライン矯正7回で治療された方の症例写真をご覧ください。 治療期間:約1年2ヶ月 治療回数:7回 そして、出っ歯が治っていないのに 矯正治療の終了 を告げられました。 元々、この歯並びだったら何も思っていなかったかもしれません。 だけど、70万円という高額の矯正治療費を支払って、2年間の矯正生活を送ったにも関わらず、綺麗な歯並びに.
そして、出っ歯が治っていないのに 矯正治療の終了 を告げられました。 元々、この歯並びだったら何も思っていなかったかもしれません。 だけど、70万円という高額の矯正治療費を支払って、2年間の矯正生活を送ったにも関わらず、綺麗な歯並びに. 今回は 「出っ歯」に悩んでいる方向けの内容 です。 キレイライン矯正7回で治療された方の症例写真をご覧ください。 治療期間:約1年2ヶ月 治療回数:7回 出っ歯を治す矯正治療には、大きく2つがあります。それは、「 抜歯する歯列矯正 」と「 抜歯しない歯列矯正 」です。 どちらの治療方法が良いのかについては、精密検査を行って見なければわかりません。
åºã£æ¯ ä¸é¡åçª ã®ç¯æ£æ²»ç åè'çå
«å代å¸ã®ç¯æ£æ¯ç§'å°éå» ã¾ãã®æ¯åç¯æ£ã¯ãªãã㯠from makino-ortho.com 出っ歯を治す矯正治療には、大きく2つがあります。それは、「 抜歯する歯列矯正 」と「 抜歯しない歯列矯正 」です。 どちらの治療方法が良いのかについては、精密検査を行って見なければわかりません。 そして、出っ歯が治っていないのに 矯正治療の終了 を告げられました。 元々、この歯並びだったら何も思っていなかったかもしれません。 だけど、70万円という高額の矯正治療費を支払って、2年間の矯正生活を送ったにも関わらず、綺麗な歯並びに. 今回は 「出っ歯」に悩んでいる方向けの内容 です。 キレイライン矯正7回で治療された方の症例写真をご覧ください。 治療期間:約1年2ヶ月 治療回数:7回
そして、出っ歯が治っていないのに 矯正治療の終了 を告げられました。 元々、この歯並びだったら何も思っていなかったかもしれません。 だけど、70万円という高額の矯正治療費を支払って、2年間の矯正生活を送ったにも関わらず、綺麗な歯並びに. 出っ歯を治す矯正治療には、大きく2つがあります。それは、「 抜歯する歯列矯正 」と「 抜歯しない歯列矯正 」です。 どちらの治療方法が良いのかについては、精密検査を行って見なければわかりません。 今回は 「出っ歯」に悩んでいる方向けの内容 です。 キレイライン矯正7回で治療された方の症例写真をご覧ください。 治療期間:約1年2ヶ月 治療回数:7回 そして、出っ歯が治っていないのに 矯正治療の終了 を告げられました。 元々、この歯並びだったら何も思っていなかったかもしれません。 だけど、70万円という高額の矯正治療費を支払って、2年間の矯正生活を送ったにも関わらず、綺麗な歯並びに.
今回は 「出っ歯」に悩んでいる方向けの内容 です。 キレイライン矯正7回で治療された方の症例写真をご覧ください。 治療期間:約1年2ヶ月 治療回数:7回 depp . 今回は 「出っ歯」に悩んでいる方向けの内容 です。 キレイライン矯正7回で治療された方の症例写真をご覧ください。 治療期間:約1年2ヶ月 治療回数:7回 Source: www.ichibankan-do.com そして、出っ歯が治っていないのに 矯正治療の終了 を告げられました。 元々、この歯並びだったら何も思っていなかったかもしれません。 だけど、70万円という高額の矯正治療費を支払って、2年間の矯正生活を送ったにも関わらず、綺麗な歯並びに. 今回は 「出っ歯」に悩んでいる方向けの内容 です。 キレイライン矯正7回で治療された方の症例写真をご覧ください。 治療期間:約1年2ヶ月 治療回数:7回 出っ歯を治す矯正治療には、大きく2つがあります。それは、「 抜歯する歯列矯正 」と「 抜歯しない歯列矯正 」です。 どちらの治療方法が良いのかについては、精密検査を行って見なければわかりません。
Source: www.umeda.or.jp そして、出っ歯が治っていないのに 矯正治療の終了 を告げられました。 元々、この歯並びだったら何も思っていなかったかもしれません。 だけど、70万円という高額の矯正治療費を支払って、2年間の矯正生活を送ったにも関わらず、綺麗な歯並びに. 出っ歯を治す矯正治療には、大きく2つがあります。それは、「 抜歯する歯列矯正 」と「 抜歯しない歯列矯正 」です。 どちらの治療方法が良いのかについては、精密検査を行って見なければわかりません。 今回は 「出っ歯」に悩んでいる方向けの内容 です。 キレイライン矯正7回で治療された方の症例写真をご覧ください。 治療期間:約1年2ヶ月 治療回数:7回
Source: image.jimcdn.com そして、出っ歯が治っていないのに 矯正治療の終了 を告げられました。 元々、この歯並びだったら何も思っていなかったかもしれません。 だけど、70万円という高額の矯正治療費を支払って、2年間の矯正生活を送ったにも関わらず、綺麗な歯並びに. 今回は 「出っ歯」に悩んでいる方向けの内容 です。 キレイライン矯正7回で治療された方の症例写真をご覧ください。 治療期間:約1年2ヶ月 治療回数:7回 出っ歯を治す矯正治療には、大きく2つがあります。それは、「 抜歯する歯列矯正 」と「 抜歯しない歯列矯正 」です。 どちらの治療方法が良いのかについては、精密検査を行って見なければわかりません。
Source: www.saa-dental.com 今回は 「出っ歯」に悩んでいる方向けの内容 です。 キレイライン矯正7回で治療された方の症例写真をご覧ください。 治療期間:約1年2ヶ月 治療回数:7回 出っ歯を治す矯正治療には、大きく2つがあります。それは、「 抜歯する歯列矯正 」と「 抜歯しない歯列矯正 」です。 どちらの治療方法が良いのかについては、精密検査を行って見なければわかりません。 そして、出っ歯が治っていないのに 矯正治療の終了 を告げられました。 元々、この歯並びだったら何も思っていなかったかもしれません。 だけど、70万円という高額の矯正治療費を支払って、2年間の矯正生活を送ったにも関わらず、綺麗な歯並びに.
Source: lingual-ortho.info 今回は 「出っ歯」に悩んでいる方向けの内容 です。 キレイライン矯正7回で治療された方の症例写真をご覧ください。 治療期間:約1年2ヶ月 治療回数:7回 出っ歯を治す矯正治療には、大きく2つがあります。それは、「 抜歯する歯列矯正 」と「 抜歯しない歯列矯正 」です。 どちらの治療方法が良いのかについては、精密検査を行って見なければわかりません。 そして、出っ歯が治っていないのに 矯正治療の終了 を告げられました。 元々、この歯並びだったら何も思っていなかったかもしれません。 だけど、70万円という高額の矯正治療費を支払って、2年間の矯正生活を送ったにも関わらず、綺麗な歯並びに.
Source: ishiisika.com 出っ歯を治す矯正治療には、大きく2つがあります。それは、「 抜歯する歯列矯正 」と「 抜歯しない歯列矯正 」です。 どちらの治療方法が良いのかについては、精密検査を行って見なければわかりません。 今回は 「出っ歯」に悩んでいる方向けの内容 です。 キレイライン矯正7回で治療された方の症例写真をご覧ください。 治療期間:約1年2ヶ月 治療回数:7回 そして、出っ歯が治っていないのに 矯正治療の終了 を告げられました。 元々、この歯並びだったら何も思っていなかったかもしれません。 だけど、70万円という高額の矯正治療費を支払って、2年間の矯正生活を送ったにも関わらず、綺麗な歯並びに.
Source: stat.ameba.jp 今回は 「出っ歯」に悩んでいる方向けの内容 です。 キレイライン矯正7回で治療された方の症例写真をご覧ください。 治療期間:約1年2ヶ月 治療回数:7回 出っ歯を治す矯正治療には、大きく2つがあります。それは、「 抜歯する歯列矯正 」と「 抜歯しない歯列矯正 」です。 どちらの治療方法が良いのかについては、精密検査を行って見なければわかりません。 そして、出っ歯が治っていないのに 矯正治療の終了 を告げられました。 元々、この歯並びだったら何も思っていなかったかもしれません。 だけど、70万円という高額の矯正治療費を支払って、2年間の矯正生活を送ったにも関わらず、綺麗な歯並びに.
Source: sdo.ne.jp 今回は 「出っ歯」に悩んでいる方向けの内容 です。 キレイライン矯正7回で治療された方の症例写真をご覧ください。 治療期間:約1年2ヶ月 治療回数:7回 そして、出っ歯が治っていないのに 矯正治療の終了 を告げられました。 元々、この歯並びだったら何も思っていなかったかもしれません。 だけど、70万円という高額の矯正治療費を支払って、2年間の矯正生活を送ったにも関わらず、綺麗な歯並びに. 出っ歯を治す矯正治療には、大きく2つがあります。それは、「 抜歯する歯列矯正 」と「 抜歯しない歯列矯正 」です。 どちらの治療方法が良いのかについては、精密検査を行って見なければわかりません。
Source: ishiisika.com 今回は 「出っ歯」に悩んでいる方向けの内容 です。 キレイライン矯正7回で治療された方の症例写真をご覧ください。 治療期間:約1年2ヶ月 治療回数:7回 そして、出っ歯が治っていないのに 矯正治療の終了 を告げられました。 元々、この歯並びだったら何も思っていなかったかもしれません。 だけど、70万円という高額の矯正治療費を支払って、2年間の矯正生活を送ったにも関わらず、綺麗な歯並びに. 出っ歯を治す矯正治療には、大きく2つがあります。それは、「 抜歯する歯列矯正 」と「 抜歯しない歯列矯正 」です。 どちらの治療方法が良いのかについては、精密検査を行って見なければわかりません。
Source: lingual-ortho.info そして、出っ歯が治っていないのに 矯正治療の終了 を告げられました。 元々、この歯並びだったら何も思っていなかったかもしれません。 だけど、70万円という高額の矯正治療費を支払って、2年間の矯正生活を送ったにも関わらず、綺麗な歯並びに.
Source: makino-ortho.com そして、出っ歯が治っていないのに 矯正治療の終了 を告げられました。 元々、この歯並びだったら何も思っていなかったかもしれません。 だけど、70万円という高額の矯正治療費を支払って、2年間の矯正生活を送ったにも関わらず、綺麗な歯並びに.
Source: shibutani-kyousei.com そして、出っ歯が治っていないのに 矯正治療の終了 を告げられました。 元々、この歯並びだったら何も思っていなかったかもしれません。 だけど、70万円という高額の矯正治療費を支払って、2年間の矯正生活を送ったにも関わらず、綺麗な歯並びに.
Source: www.kobe-kyousei.net そして、出っ歯が治っていないのに 矯正治療の終了 を告げられました。 元々、この歯並びだったら何も思っていなかったかもしれません。 だけど、70万円という高額の矯正治療費を支払って、2年間の矯正生活を送ったにも関わらず、綺麗な歯並びに.
Source: www.morita-dental.net そして、出っ歯が治っていないのに 矯正治療の終了 を告げられました。 元々、この歯並びだったら何も思っていなかったかもしれません。 だけど、70万円という高額の矯正治療費を支払って、2年間の矯正生活を送ったにも関わらず、綺麗な歯並びに.
Source: www.suzuki-or.com そして、出っ歯が治っていないのに 矯正治療の終了 を告げられました。 元々、この歯並びだったら何も思っていなかったかもしれません。 だけど、70万円という高額の矯正治療費を支払って、2年間の矯正生活を送ったにも関わらず、綺麗な歯並びに.
Komentar
Posting Komentar